Endometrioza to choroba, która dotyka miliony kobiet na całym świecie, często pozostając niezdiagnozowana przez lata. Zrozumienie jej mechanizmów, objawów i dostępnych metod leczenia jest kluczowe dla poprawy jakości życia pacjentek. Ten kompleksowy przewodnik pomoże Ci zgłębić tajniki endometriozy, od jej podstawowych definicji, przez proces diagnostyczny, aż po nowoczesne terapie i wsparcie dla kobiet marzących o macierzyństwie.
Endometrioza kompleksowy przewodnik po chorobie, która dotyka miliony Polek
- Przewlekła choroba, w której tkanka podobna do błony śluzowej macicy rośnie poza nią
- Dotyczy 6-15% kobiet w wieku rozrodczym w Polsce, czyli nawet 3 milionów
- Charakteryzuje się silnym bólem, problemami z płodnością i przewlekłym zmęczeniem
- Diagnoza często zajmuje 7-10 lat od wystąpienia pierwszych objawów
- Leczenie obejmuje farmakologię, chirurgię oraz nowy program NFZ (KOS-Endo)
- Jest jedną z głównych przyczyn niepłodności, dotykającą 30-50% kobiet

Endometrioza: Czym jest tajemnicza choroba, która dotyka miliony Polek?
Definicja dla początkujących: Co to znaczy, że błona śluzowa macicy "wędruje"?
Endometrioza to stan, w którym tkanka podobna do tej wyściełającej wnętrze macicy, czyli endometrium, zaczyna rosnąć poza swoim naturalnym miejscem. Wyobraź sobie, że ta tkanka, która normalnie złuszcza się podczas miesiączki, zamiast tego zaczyna "wędrować" i przyczepiać się do innych narządów w jamie brzusznej, takich jak jajniki, jajowody, a nawet jelita czy pęcherz moczowy. Ta "wędrująca" błona śluzowa reaguje na cykle hormonalne tak samo jak ta w macicy krwawi podczas miesiączki, co może prowadzić do powstawania stanów zapalnych, zrostów i torbieli. To właśnie te zmiany są przyczyną wielu dolegliwości, z jakimi zmagają się pacjentki.
Skala problemu w Polsce: Dlaczego mówi się o "epidemii" endometriozy?
Dane dotyczące endometriozy w Polsce są alarmujące. Szacuje się, że choroba ta może dotyczyć nawet do 3 milionów kobiet, co stanowi znaczący odsetek od 6 do 15% wszystkich kobiet w wieku rozrodczym. Najczęściej diagnozuje się ją u pań między 25. a 35. rokiem życia, choć może pojawić się również u młodszych i starszych kobiet. Niestety, droga do postawienia prawidłowej diagnozy jest często długa i wyboista. Średni czas od pojawienia się pierwszych objawów do momentu, gdy lekarz postawi właściwe rozpoznanie, wynosi w Polsce około 7-10 lat. Tak długi okres zwłoki wynika często z bagatelizowania objawów lub błędnych diagnoz, co sprawia, że choroba postępuje, a leczenie staje się trudniejsze. Dlatego właśnie coraz częściej mówi się o "epidemii" endometriozy nie tylko ze względu na liczbę zachorowań, ale także na skalę cierpienia i trudności w jej zwalczaniu.
To nie tylko "taka Twoja uroda": Dlaczego ból nie powinien być normą?
Jednym z najczęstszych i najbardziej uciążliwych objawów endometriozy jest ból. Niestety, wiele kobiet przez lata słyszy od otoczenia, a czasem nawet od lekarzy, że silne bóle menstruacyjne, przewlekły ból w miednicy czy dyskomfort podczas stosunku to po prostu "taka ich uroda" lub nieodłączny element kobiecości. Chcę podkreślić z całą mocą: to nieprawda. Choć pewien dyskomfort podczas miesiączki jest fizjologiczny, silny, paraliżujący ból, który uniemożliwia normalne funkcjonowanie, jest sygnałem alarmowym. Nie należy go ignorować ani akceptować jako normy. Jest to jeden z kluczowych symptomów, który powinien skłonić do wizyty u specjalisty i dokładnej diagnostyki w kierunku endometriozy. Wasze samopoczucie i komfort życia są najważniejsze.

Czy to może być endometrioza? Poznaj objawy, które powinny zapalić czerwoną lampkę
Ból, który paraliżuje życie: Bolesne miesiączki, ból miednicy i podczas współżycia
Ból jest bez wątpienia najczęściej zgłaszanym i najbardziej dokuczliwym objawem endometriozy. Mówimy tu nie tylko o zwykłych bolesnych miesiączkach, które wiele kobiet doświadcza, ale o prawdziwym cierpieniu. Często są to bóle tak silne, że wymagają przyjmowania silnych leków przeciwbólowych, a nawet uniemożliwiają codzienne funkcjonowanie pójście do pracy, szkoły czy wykonywanie podstawowych czynności. Przewlekły ból w miednicy, który nie ustępuje nawet poza okresem menstruacji, to kolejny częsty symptom. Może on promieniować do pleców, ud, a nawet być odczuwany jako ciągłe uczucie ucisku. Dodatkowo, wiele kobiet cierpiących na endometriozę doświadcza bólu podczas stosunku seksualnego, zwanego dyspareunią. Ten rodzaj bólu może znacząco wpływać na intymność i relacje.
"Endo-belly" i problemy z jelitami: Jak odróżnić objawy endometriozy od problemów trawiennych?
Endometrioza potrafi dać się we znaki również ze strony układu pokarmowego. Jednym z charakterystycznych objawów jest tzw. "endobelly" uporczywe wzdęcia, które sprawiają, że brzuch staje się twardy i powiększony, często przypominając ciążę. Dolegliwości te mogą nasilać się w trakcie miesiączki. Poza wzdęciami, pacjentki mogą zmagać się z biegunkami, zaparciami, a nawet bólem podczas wypróżniania, szczególnie jeśli ogniska endometriozy zlokalizowane są w okolicy jelit. Te symptomy często są mylone z zespołem jelita drażliwego (IBS) lub innymi problemami trawiennymi. Kluczowe w rozróżnieniu jest powiązanie tych dolegliwości z cyklem menstruacyjnym jeśli nasilają się one lub pojawiają cyklicznie, warto skonsultować je z lekarzem pod kątem endometriozy.
Nietypowe sygnały od organizmu: Przewlekłe zmęczenie, ból pleców i dolegliwości ze strony pęcherza
Endometrioza to choroba, która potrafi objawiać się w bardzo różnorodny sposób, a niektóre symptomy są mniej oczywiste. Przewlekłe zmęczenie, uczucie ciągłego braku energii, które nie ustępuje po odpoczynku, to bardzo częsty, choć często bagatelizowany objaw. Może on znacząco utrudniać codzienne funkcjonowanie. Kolejnym sygnałem, na który warto zwrócić uwagę, jest ból pleców, zwłaszcza w dolnej części kręgosłupa, który może być związany z obecnością ognisk endometriozy w okolicy miednicy. Niektóre kobiety doświadczają również dolegliwości ze strony układu moczowego, takich jak ból podczas oddawania moczu, częste parcie na pęcherz czy nawet krew w moczu, jeśli ogniska endometriozy znajdują się w jego okolicy.
Cichy wróg samopoczucia: Wpływ endometriozy na zdrowie psychiczne
Przewlekły ból, niepewność diagnozy, problemy z płodnością i ciągłe zmaganie się z objawami choroby mają ogromny wpływ na zdrowie psychiczne kobiet. Nic dziwnego, że endometrioza często idzie w parze ze stanami lękowymi i depresją. Ciągłe cierpienie, poczucie niezrozumienia, frustracja związana z brakiem skutecznego leczenia i obawa o przyszłość mogą prowadzić do obniżonego nastroju, utraty radości życia, a nawet myśli samobójczych. Dlatego tak ważne jest, aby pamiętać o tym aspekcie choroby i nie wahać się szukać profesjonalnego wsparcia psychologicznego. Terapia może pomóc w radzeniu sobie z emocjonalnymi skutkami endometriozy i odzyskać równowagę psychiczną.
Skąd się bierze endometrioza? Aktualne teorie i czynniki ryzyka
Tajemnice powstawania choroby: Rola genów, hormonów i układu odpornościowego
Do dziś dokładne przyczyny powstawania endometriozy nie są w pełni poznane, co stanowi jedno z największych wyzwań w jej leczeniu. Naukowcy badają kilka głównych teorii. Jedna z nich wskazuje na rolę czynników genetycznych endometrioza często występuje rodzinnie, co sugeruje predyspozycje dziedziczne. Inna ważna teoria dotyczy zaburzeń hormonalnych, zwłaszcza nadmiernego wpływu estrogenów, które stymulują wzrost tkanki endometrialnej. Wiele uwagi poświęca się również układowi odpornościowemu. Uważa się, że u kobiet z endometriozą układ immunologiczny może nie działać prawidłowo, nie usuwając komórek endometrium, które znalazły się poza macicą. Badane są także czynniki środowiskowe, takie jak ekspozycja na niektóre substancje chemiczne, które mogą wpływać na gospodarkę hormonalną i rozwój choroby.
Czy jesteś w grupie ryzyka? Czynniki, które mogą zwiększać prawdopodobieństwo zachorowania
Chociaż dokładne przyczyny endometriozy pozostają niejasne, zidentyfikowano pewne czynniki, które mogą zwiększać ryzyko zachorowania. Do najważniejszych należą:
- Wczesna pierwsza miesiączka: Im wcześniej kobieta zacznie miesiączkować, tym dłużej jej organizm jest narażony na działanie hormonów płciowych.
- Krótkie cykle menstruacyjne: Cykle trwające krócej niż 27 dni mogą wiązać się z większym ryzykiem.
- Obfite i długie krwawienia: Długotrwałe i intensywne miesiączki również są uznawane za czynnik ryzyka.
- Niska masa urodzeniowa: Niektóre badania sugerują związek między niską masą urodzeniową a zwiększonym ryzykiem endometriozy.
- Niedojrzałość płciowa: Opóźnione dojrzewanie może być związane z większym prawdopodobieństwem rozwoju choroby.
- Historia rodziny: Jeśli Twoja matka, siostra lub córka choruje na endometriozę, Twoje ryzyko jest znacznie wyższe.
- Problemy z płodnością: Kobiety mające trudności z zajściem w ciążę częściej chorują na endometriozę.
- Wady macicy lub szyjki macicy: Nieprawidłowości anatomiczne mogą utrudniać odpływ krwi menstruacyjnej.

Droga do diagnozy w Polsce: Jak potwierdzić lub wykluczyć endometriozę?
Krok pierwszy: Rola wnikliwego wywiadu i badania ginekologicznego
Pierwszym i niezwykle ważnym etapem w procesie diagnozy endometriozy jest szczegółowy wywiad lekarski. Lekarz ginekolog zada Ci wiele pytań dotyczących Twoich objawów ich charakteru, nasilenia, czasu trwania, a także historii medycznej Twojej i Twojej rodziny. Ważne jest, abyś była szczera i otwarta, nie pomijając żadnych, nawet pozornie błahych dolegliwości. Następnie przeprowadzane jest badanie ginekologiczne, które może obejmować badanie palpacyjne narządów rodnych. Lekarz może wyczuć obecność torbieli na jajnikach, guzków w okolicy zatoki Douglasa czy bolesności przy ruchach szyjką macicy, co może sugerować endometriozę.
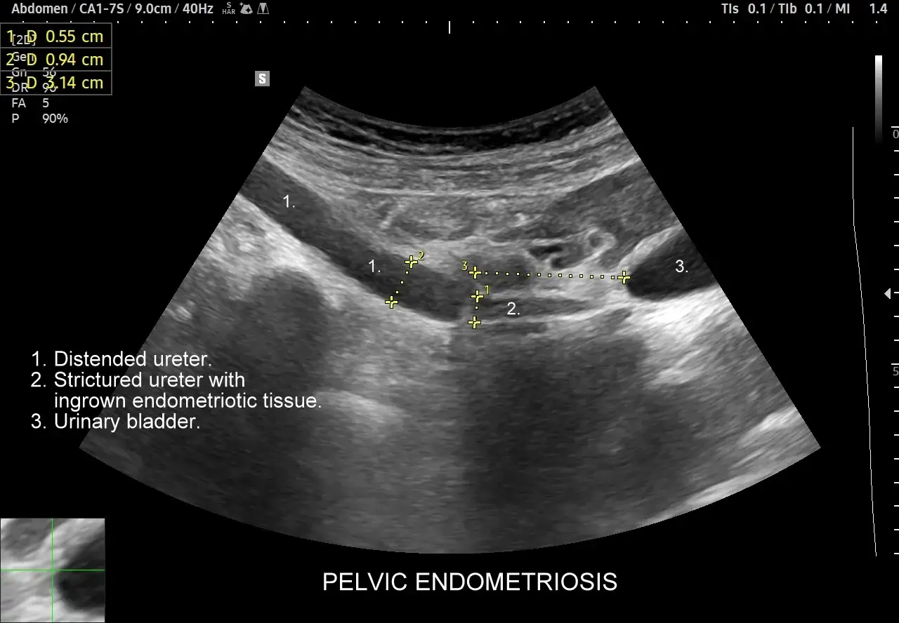
Nowoczesna diagnostyka obrazowa: Czym jest specjalistyczne USG i kiedy wykonuje się rezonans magnetyczny?
Po wstępnym wywiadzie i badaniu fizykalnym, lekarz często zleca badania obrazowe. Kluczowe w diagnostyce endometriozy jest specjalistyczne badanie ultrasonograficzne (USG), często wykonywane przez doświadczonego specjalistę, który potrafi ocenić narządy miednicy mniejszej z dużą dokładnością. Szczególnie cenne jest USG przezpochwowe z użyciem sondy o wysokiej częstotliwości, które pozwala na uwidocznienie ognisk endometriozy, torbieli endometrialnych (tzw. "torbieli czekoladowych") czy zrostów. W bardziej skomplikowanych przypadkach, gdy istnieje podejrzenie głębokiej endometriozy naciekającej na narządy jamy brzusznej, lekarz może zlecić rezonans magnetyczny (MRI), który daje jeszcze bardziej szczegółowy obraz tkanek.
"Złoty standard" w praktyce: Na czym polega laparoskopia diagnostyczna?
Mimo postępu w diagnostyce obrazowej, laparoskopia nadal uważana jest za "złoty standard" w potwierdzaniu diagnozy endometriozy. Jest to małoinwazyjny zabieg chirurgiczny, wykonywany w znieczuleniu ogólnym. Polega na wprowadzeniu przez niewielkie nacięcia w powłokach brzusznych specjalnych narzędzi, w tym kamery (laparoskopu), która pozwala lekarzowi na bezpośrednie obejrzenie narządów jamy brzusznej i miednicy. Podczas laparoskopii można precyzyjnie zlokalizować i ocenić zaawansowanie choroby, a także pobrać fragmenty podejrzanej tkanki do badania histopatologicznego, co ostatecznie potwierdza diagnozę. Co ważne, laparoskopia często pozwala nie tylko na diagnozę, ale również na jednoczesne usunięcie zmian endometrialnych.
Od I do IV: Co oznaczają stopnie zaawansowania endometriozy i dlaczego są ważne?
Po potwierdzeniu diagnozy, lekarze często klasyfikują endometriozę według stopni zaawansowania, najczęściej stosując skalę opracowaną przez Amerykańskie Towarzystwo Płodności (rAFS). Klasyfikacja ta dzieli chorobę na cztery stopnie:
- Stopień I (minimalny): Charakteryzuje się obecnością niewielkich, powierzchownych ognisk endometriozy i brakiem zrostów.
- Stopień II (łagodny): Ogniska endometriozy są liczniejsze lub głębsze, mogą występować niewielkie torbiele na jajnikach.
- Stopień III (umiarkowany): Widoczne są liczne ogniska endometriozy, większe torbiele na jajnikach oraz zrosty, które mogą obejmować jajowody.
- Stopień IV (ciężki): Choroba jest zaawansowana, z licznymi, głębokimi ogniskami, dużymi torbielami endometrialnymi na obu jajnikach, rozległymi zrostami, a czasem z naciekaniem innych narządów, np. jelit czy pęcherza moczowego.
Znajomość stopnia zaawansowania jest kluczowa dla planowania odpowiedniego leczenia i prognozowania jego skuteczności, zwłaszcza w kontekście płodności.
Jak odzyskać kontrolę nad bólem i życiem? Przegląd skutecznych metod leczenia
Leczenie farmakologiczne: Terapia hormonalna i leki przeciwbólowe jako pierwsza linia obrony
Celem leczenia farmakologicznego endometriozy jest przede wszystkim złagodzenie objawów bólowych oraz zahamowanie postępu choroby poprzez ograniczenie wpływu estrogenów na ogniska endometrialne. Stosuje się różne grupy leków. Leki przeciwbólowe, w tym niesteroidowe leki przeciwzapalne (NLPZ) oraz silniejsze analgetyki, pomagają opanować ból. Terapia hormonalna ma na celu zmniejszenie lub wyeliminowanie stymulacji estrogenowej. Może obejmować doustne środki antykoncepcyjne, progestageny, analogi GnRH (które tymczasowo wprowadzają organizm w stan przypominający menopauzę) lub inhibitory aromatazy. Wybór konkretnego leku zależy od nasilenia objawów, stopnia zaawansowania choroby, planów prokreacyjnych pacjentki oraz jej indywidualnej tolerancji.
Chirurgia w walce z endometriozą: Kiedy operacja laparoskopowa jest koniecznością?
W przypadkach, gdy leczenie farmakologiczne jest nieskuteczne, objawy są bardzo nasilone, występują duże torbiele endometrialne lub istnieją poważne problemy z płodnością, konieczne może być leczenie chirurgiczne. Najczęściej stosowaną metodą jest laparoskopia, która pozwala na precyzyjne usunięcie ognisk endometriozy, torbieli i zrostów. Celem operacji jest nie tylko usunięcie widocznych zmian, ale także przywrócenie prawidłowej anatomii narządów miednicy. W przypadkach bardzo zaawansowanej choroby, gdy inne metody zawiodły, a pacjentka nie planuje już ciąży, lekarze mogą rozważyć histerektomię (usunięcie macicy) wraz z usunięciem jajników i jajowodów. Decyzja o operacji jest zawsze podejmowana indywidualnie, po dokładnej ocenie stanu pacjentki.
Przełom w Polsce: Co oznacza dla pacjentek nowy program kompleksowego leczenia na NFZ?
Od 1 lipca 2025 roku w Polsce wchodzi w życie długo wyczekiwany program kompleksowej opieki nad pacjentkami z endometriozą (KOS-Endo), finansowany przez Narodowy Fundusz Zdrowia. Jest to ogromny krok naprzód w zapewnieniu lepszej opieki medycznej dla kobiet zmagających się z tą chorobą. Program zakłada prowadzenie diagnostyki i leczenia w 8 wyspecjalizowanych ośrodkach w kraju, które dysponują odpowiednią kadrą medyczną i zapleczem technologicznym. Celem programu jest zapewnienie pacjentkom kompleksowego podejścia, od dokładnej diagnostyki, przez nowoczesne metody leczenia farmakologicznego i chirurgicznego, po wsparcie psychologiczne i poradnictwo dotyczące płodności. To szansa na skrócenie czasu oczekiwania na diagnozę i dostęp do terapii na najwyższym poziomie.
Gdzie szukać pomocy? Lista specjalistycznych ośrodków leczenia endometriozy
W ramach programu KOS-Endo, pacjentki z endometriozą mogą szukać pomocy w 8 wyspecjalizowanych ośrodkach zlokalizowanych w różnych częściach Polski. Pełna i aktualna lista tych placówek jest dostępna na stronach internetowych Narodowego Funduszu Zdrowia (NFZ) oraz na dedykowanych portalach dla pacjentek. Zachęcam do aktywnego poszukiwania informacji i kontaktu z wybranym ośrodkiem, aby dowiedzieć się więcej o kryteriach kwalifikacji i możliwościach leczenia w ramach programu. Pamiętajcie, że nie jesteście same, a dostęp do specjalistycznej opieki jest teraz łatwiejszy niż kiedykolwiek wcześniej.
Endometrioza a marzenia o dziecku: Co musisz wiedzieć o płodności?
Jak choroba wpływa na płodność? Mechanizmy utrudniające zajście w ciążę
Endometrioza jest jedną z głównych przyczyn problemów z płodnością u kobiet. Szacuje się, że dotyka ona od 30% do nawet 50% pacjentek zmagających się z niepłodnością. Mechanizmy, które mogą utrudniać zajście w ciążę, są złożone. Zrosty powstałe w wyniku stanu zapalnego mogą blokować jajowody, utrudniając komórce jajowej dotarcie do macicy lub plemnikom dotarcie do jajnika. Endometrioza może wpływać na owulację, prowadząc do zaburzeń uwalniania komórki jajowej. Torbiele endometrialne na jajnikach mogą uszkadzać ich tkankę, wpływając na jakość i liczbę dostępnych komórek jajowych. Ponadto, w jamie otrzewnej mogą gromadzić się substancje zapalne, które negatywnie wpływają na środowisko sprzyjające zapłodnieniu i implantacji zarodka.
Czy ciąża leczy endometriozę? Fakty i mity na temat wpływu ciąży na objawy
Istnieje powszechny mit, że ciąża jest naturalnym lekarstwem na endometriozę. Choć w trakcie ciąży objawy choroby często ustępują, a nawet całkowicie zanikają, nie oznacza to wyleczenia. W czasie ciąży, pod wpływem zmian hormonalnych, ogniska endometriozy mogą się zmniejszać lub pozostawać w stanie uśpienia. Po porodzie, gdy cykl menstruacyjny powraca, choroba może się reaktywować, a objawy powrócić. Dlatego ciąża nie jest metodą leczenia endometriozy, a jedynie tymczasowym okresem ulgi. Ważne jest, aby po porodzie, jeśli objawy powrócą, kontynuować diagnostykę i leczenie pod opieką specjalisty.
Metody wspomaganego rozrodu: Kiedy warto rozważyć inseminację lub in vitro?
Dla par, u których endometrioza stanowi przeszkodę w naturalnym poczęciu, medycyna oferuje metody wspomaganego rozrodu. Inseminacja, czyli podanie przygotowanego nasienia bezpośrednio do jamy macicy w okresie owulacji, może być rozważana w łagodniejszych przypadkach choroby lub gdy problemy z płodnością wynikają z czynników męskich. W bardziej zaawansowanych stadiach endometriozy, lub gdy inseminacja okaże się nieskuteczna, najskuteczniejszą metodą jest zapłodnienie pozaustrojowe (in vitro). Pozwala ono na połączenie komórki jajowej z plemnikiem w laboratorium, a następnie na transfer zarodka do macicy, omijając potencjalne przeszkody związane z endometriozą, takie jak zrosty czy zaburzenia owulacji.
Życie z endometriozą na co dzień: Twoi sprzymierzeńcy w walce z chorobą
Dieta przeciwzapalna: Jakie produkty mogą łagodzić objawy?
Choć dieta nie jest lekarstwem na endometriozę, odpowiednie odżywianie może znacząco pomóc w łagodzeniu objawów, zwłaszcza bólu i stanów zapalnych. Dieta przeciwzapalna skupia się na produktach bogatych w antyoksydanty i zdrowe tłuszcze, a ogranicza te, które mogą nasilać stany zapalne. Zaleca się spożywanie dużej ilości warzyw (szczególnie zielonych liściastych), owoców (jagodowych), pełnoziarnistych produktów zbożowych, ryb bogatych w kwasy omega-3 (łosoś, makrela), orzechów i nasion. Warto ograniczyć spożycie czerwonego mięsa, przetworzonej żywności, cukru, białej mąki, a także nabiału i glutenu, jeśli obserwujesz u siebie nietolerancję. Pamiętaj, że każda kobieta jest inna, dlatego kluczowe jest obserwowanie reakcji własnego organizmu.
Rola fizjoterapii uroginekologicznej w łagodzeniu bólu i napięć
Fizjoterapia uroginekologiczna to dziedzina medycyny, która może przynieść znaczącą ulgę kobietom z endometriozą. Specjalista fizjoterapii uroginekologicznej pracuje z mięśniami dna miednicy, które często są napięte i bolesne u pacjentek z tą chorobą. Terapia może obejmować techniki manualne mające na celu rozluźnienie nadmiernie spiętych mięśni, ćwiczenia wzmacniające osłabione partie, a także terapię blizn pooperacyjnych. Fizjoterapeuta może również pomóc w nauce prawidłowego oddychania i relaksacji, co jest kluczowe w radzeniu sobie z przewlekłym bólem i stresem związanym z endometriozą. Terapia ta jest szczególnie pomocna w łagodzeniu bólu miednicy i dyspareunii.
Przeczytaj również: Ile zarabia ratownik medyczny na godzinę? Zaskakujące różnice w stawkach
Wsparcie psychologiczne i grupy pacjenckie: Gdzie znaleźć zrozumienie i siłę?
Życie z przewlekłą chorobą, jaką jest endometrioza, bywa obciążające emocjonalnie. Dlatego tak ważne jest poszukiwanie wsparcia psychologicznego. Rozmowa z psychologiem lub terapeutą może pomóc w radzeniu sobie ze stresem, lękiem, depresją i poczuciem osamotnienia. Nieocenione jest również wsparcie ze strony innych kobiet, które przechodzą przez podobne doświadczenia. Grupy wsparcia dla pacjentek z endometriozą, zarówno te działające stacjonarnie, jak i grupy online, tworzą przestrzeń do dzielenia się doświadczeniami, wymiany informacji i wzajemnego motywowania. Pamiętajcie, że w walce z endometriozą nie jesteście same istnieje wiele organizacji i społeczności gotowych Wam pomóc.
